Framar.bg 0
0
Е-аптека Промоции
Здравна библиотека
Здравни проблеми Медицинска енциклопедия Заболявания Симптоми и признаци Алтернативна медицина Анатомия Медицински изследвания Лечения Физиология Патология Ботаника Микробиология Фармакологични групи Медицински журнал Взаимодействия История на медицината и фармацията Здравето А-Я
Диагностик
Здравна помощ
Здравен справочник Специалисти Здравни заведения Аптеки Институции и организации Образование Спорт и туризъм Клинични пътеки Нормативни актове Бизнес Социални грижи Форум Консултации
Здравна медия
Здравни новини Любопитно Интервюта Видео Презентации Научни публикации Анкети Бъди активен Кампании
Здраве и начин на живот
Хранене Хранене при... Рецепти Диети Групи храни и ястия Съставки Е-тата в храните Спорт Съвети Психология Лайфстайл Интерактивни
За нас
За Фрамар За реклама Статистика Общи условия Екип Кариера Адреси на аптеки Фрамар Блог Важно Автори Програма за лоялни клиенти Промоционална брошура
Контакти
Назад | Начало Здравни проблеми Ендометриоза Симптоми на ендометриоза
Ендометриоза
Автор: д-р Димитър Илианов МитевРедактор: Камелия Методиева
  • СЪДЪРЖАНИЕ
  • ИНФОРМАЦИЯ
  • ГАЛЕРИЯ
  • БИБЛИОГРАФИЯ
  • КОМЕНТАРИ
СЪДЪРЖАНИЕ
СЪДЪРЖАНИЕ
ИНФОРМАЦИЯ
ГАЛЕРИЯ
БИБЛИОГРАФИЯ
КОМЕНТАРИ
Ендометриоза
  1. Какво представлява ендометриозата?
  2. Колко често се среща ендометриозата?
  3. Какви са причините за ендометриоза?
  4. Рискови фактори за развитие на ендометриоза
  5. Какви видове ендометриоза съществуват?
  6. Стадии на ендометриоза
  7. Симптоми на ендометриоза
  8. Ендометриоза и аденомиоза - какви са разликите?
  9. Как се поставя диагнозата ендометриоза?
  10. Как се лекува ендометриоза?
  11. Живот с ендометриоза

7. Симптоми на ендометриоза

Симптоми на ендометриоза

Ендометриозата може да доведе до различни симптоми, които могат да варират по тежест сред засегнатите жени. Основният признак е болката, която може да бъде интензивна или лека.

Често болката е свързана с менструалния цикъл. Въпреки че много жени имат спазми по време на цикъла си, тези с ендометриоза често описват менструална болка, която е много по-силна от обикновено. Болката също може да се влоши с течение на времето.

Въпреки че ендометриозата е често срещано състояние, не всички жени ще изпитат симптоми. Заболяването може да остане недиагностицирано в продължение на години и да се открие едва след като симптомите станат тежки или по време на друга процедура или изследване при безплодие.

Чести симптоми на ендометриоза включват:

  • Менструация с обилно кървене (менорагия) и по-голяма продължителност - жените с ендометриоза могат да имат менструация, по-дълга от 7 дни, както и по-тежко кървене или кървене между менструациите.
  • Болезнена менструация (дисменорея) - тазовата болка и спазми могат да започнат преди менструацията, да продължат повече от ден и дори да продължат дни след кървенето. Най-често болката се локализира в долната част на корема, таза или кръста. Може да бъде различна по интензитет. По-трудно се влияе от обезболяващи.
  • Болезнен полов акт (диспареуния) - това може да е симптом на ендометриоза, която засяга по-дълбоките тъкани на вагината и стените на таза. Въпреки че болезненият секс може също да доведе до проблеми с взаимоотношенията и тялото, пациентките могат дори да започнат да се страхуват да правят секс.
  • Уринарни симптоми - могат да включват болезнено уриниране (особено по време на менструация), чести позиви за уриниране, кръв в урината.
  • Стомашно-чревни симптоми - могат да включват диария, запек, болезнена дефекация. Жените могат също да почувстват гадене, повръщане, подуване на корема и газове.
  • Безплодие - тъй като се натрупват сраствания и фиброза, това намалява шансовете за настъпване на оплождане. Колкото по-дълго тези лезии или свързани проблеми не се лекуват, толкова по-висок е рискът от безплодие. Проучванията показват, че ендометриозата е свързана с 1/3 от случаите на безплодие, може да попречи на отделянето на яйцеклетки и да намали качеството и броя на яйцеклетките.
  • Невропатия - ендометриозата често може да се имплантира в тазовата тъкан под нервите, които водят до краката. В тези случаи е обичайно пациентките да изпитват неврологична болка в долните крайници.
  • Умора и личностови промени - поради хроничната болка, причинена от ендометриозата, много жени се чувстват „различни“. Пациентките могат да се чувстват уморени не само поради болката, но и поради дългите години на стрес в търсене на правилната диагноза и лечение.

Няма връзка между симптомите на ендометриозата и тежестта на състоянието. Някои жени могат да имат много малко лезии от ендометриоза и въпреки това да изпитват силна болка, а други - да имат тежка ендометриоза, но да не изпитват силна болка. Болката обаче корелира с дълбочината на тъканната инфилтрация, тъй като се смята, че болката е свързана по-скоро със степента на перитонеалното възпаление, отколкото с обема на имплантите. Свързаните вътретазови / вътрекоремни сраствания също са важни определящи фактори за степента на изпитваната болка.

Симптомите, свързани с ендометриозата, могат да повлияят на цялостното здраве и психическото и социално благополучие на жената. Ендометриозата предизвиква значително влошаване на качеството на живот.

При 66% от жените с ендометриоза първите симптоми на заболяването се появяват преди 20-годишна възраст. Симптомите обикновено се подобряват по време на бременност и след менопаузата; те могат да се появят отново след раждането или при постменопаузална хормонозаместителна терапия.

Следва: Ендометриоза и аденомиоза - какви са разликите?
Страници: 56789...18
4.3/5 10 оценки
googletag.pubads().definePassback('/21812339056/300-250-upperright', [300, 250]).display();

Галерия

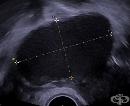
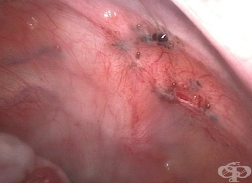
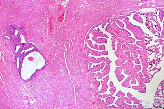
Ендометриоза Ендометриоза Симптоми на ендометриоза Симптоми на ендометриоза Ендометриоза Стадий 1 Стадий 2 Стадий 3 Стадий 4 Ехография - шоколадова киста (ендометриома) Лапароскопия на ендометриоза Лапароскопия на ендометриоза Хиатологично изследване на ендометриоза Ендометриоза на десния яйчник Аденомиоза на матката Ендометриоза и аденомиоза
1 от 17
ЕндометриозаЕндометриозаСимптоми на ендометриозаСимптоми на ендометриозаЕндометриозаСтадий 1Стадий 2Стадий 3Стадий 4Ехография - шоколадова киста (ендометриома)Лапароскопия на ендометриозаЛапароскопия на ендометриозаХиатологично изследване на ендометриозаЕндометриоза на десния яйчникАденомиоза на маткатаЕндометриоза и аденомиоза Ендометриоза

Библиография

https://www.endometriosis-uk.org/symptoms
https://emedicine.medscape.com/article/271899-overview#a1
https://en.wikipedia.org/wiki/Endometriosis#Signs_and_symptoms
https://www.mayoclinic.org/diseases-conditions/endometriosis/symptoms-causes/syc-20354656
https://www.ncbi.nlm.nih.gov/pmc/articles/PMC8508982/
https://www.endofound.org/endometriosis-symptoms
https://my.clevelandclinic.org/health/diseases/10857-endometriosis#symptoms-and-causes

Коментари към Ендометриоза

От сайта
Напиши коментар 0 коментара
  1. Коментирайте Ендометриоза
    www.framar.bg 
    на 27 December 2025 в 19:35
    Коментирайте "Ендометриоза"
За статията
последна редакция: 24 окт 2024г.
създадена на: 28 март 2016г.
прочетена: 105712 пъти
Още за Ендометриоза
  • Новини
  • Статии от здравна медия
  • Алтернативна медицина
  • Интервюта
  • Научни публикации
  • Женска полова система
  • Растения и билки
googletag.pubads().definePassback('/21812339056/Baner300600', [300, 600]).display();
При възникнало съмнение за здравословен проблем или нужда от лечение, моля винаги се обръщайте за медицинска консултация към квалифициран и правоспособен лекар или фармацевт. В никакъв случай не възприемайте дадената Ви чрез сайта информация като абсолютно достоверна и правилна, дори и същата да се окаже такава.
Данни на Фрамар ООД:
  • Фрамар ООД, ЕИК: 123732525, Стара Загора, ул. Петър Парчевич № 26, телефон: 0875 / 322 000, e-mail: office@framar.bg
  • За контакт
  • Borika
  • MasterCard
  • mastercard securecode
  • Visa
  • verified by visa
Информация:
  • Общи условия
  • Политика за поверителност
  • Политика за използване на бисквитки
  • Право на отказ от договора
  • Рекламации
  • Доставка
  • Плащания
  • Отстъпки за регистрирани клиенти
  • Промоции и безплатна доставка
  • Често задавани въпроси
  • При възникване на спор, свързан с покупка онлайн, можете да ползвате сайта ОРС
  • Български Фармацевтичен съюз
  • Изпълнителна агенция по лекарствата
  • Комисия за защита на потребителите
  • Министерство на здравеопазването
БДА NextGenerationEU DMCA.com Protection Status
© 2007 - 2025 Аптеки Фрамар. Всички права запазени! Framar.bg във Facebook
Изработка на уеб сайт от Valival