Framar.bg 0
0
Е-аптека Промоции
Здравна библиотека
Здравни проблеми Медицинска енциклопедия Заболявания Симптоми и признаци Алтернативна медицина Анатомия Медицински изследвания Лечения Физиология Патология Ботаника Микробиология Фармакологични групи Медицински журнал Взаимодействия История на медицината и фармацията Здравето А-Я
Диагностик
Здравна помощ
Здравен справочник Специалисти Здравни заведения Аптеки Институции и организации Образование Спорт и туризъм Клинични пътеки Нормативни актове Бизнес Социални грижи Форум Консултации
Здравна медия
Здравни новини Любопитно Интервюта Видео Презентации Научни публикации Анкети Бъди активен Кампании
Здраве и начин на живот
Хранене Хранене при... Рецепти Диети Групи храни и ястия Съставки Е-тата в храните Спорт Съвети Психология Лайфстайл Интерактивни
За нас
За Фрамар За реклама Статистика Общи условия Екип Кариера Адреси на аптеки Фрамар Блог Важно Автори Програма за лоялни клиенти Промоционална брошура
Контакти
Назад | Начало Здравни проблеми Синузит

Синузит

Автор: д-р Галина Георгиева КисьоваРедактор: Камелия Методиева
  • СЪДЪРЖАНИЕ
  • ИНФОРМАЦИЯ
  • ГАЛЕРИЯ
  • ПОЛЕЗНИ ВРЪЗКИ
  • БИБЛИОГРАФИЯ
  • КОМЕНТАРИ
СЪДЪРЖАНИЕ
СЪДЪРЖАНИЕ
ИНФОРМАЦИЯ
ГАЛЕРИЯ
ПОЛЕЗНИ ВРЪЗКИ
БИБЛИОГРАФИЯ
КОМЕНТАРИ
Синузит
  1. Какво представлява синузитът?
  2. Анатомия на синусите
  3. Какви са видовете синузит?
  4. Причини за синузит
  5. Рискови фактори за синузит
  6. Симптоми при синузит
  7. До какви усложнения може да доведе синузитът?
  8. Кога да потърся консултация от лекар при синузит?
  9. Как се поставя диагноза при синузит?
  10. Лечение на синузит
  11. Превенция на синузита
  12. Синузит, причинен от зъбни проблеми

1. Какво представлява синузитът?

Синузитът, известен също като риносинузит, представлява възпаление на лигавицата, покриваща околоносните кухини (синусите). Възпалителният процес преминава най-често от носната лигавица към кухината на синуса и може да бъде с остър или хроничен (с периоди на затихване или обостряне на симптоматиката) характер.

Това е често срещано състояние. Всяка година между около 10-30% от населението в Европа и САЩ боледува от синузит. Хроничният синузит засяга около 12,5% от хората.

Синузитът може да бъде причинен от инфекция (бактерии, вируси, гъбички), алергии, замърсяване на въздуха или структурни проблеми в носа, като се среща по-често през есенно-зимния период и началото на пролетта. Повечето случаи са причинени от вирусна инфекция. Травма в областта на лицето също може да доведе до инфектиране на кухината на синуса, а също и пробив на зъбен гранулом от горната зъбна редица.

За развитието на синузита имат значение особеностите в устройството на околоносните кухини, както и състоянието на имунната система на човека. При почти всеки остър ринит (хрема) има и лека форма на възпаление на лигавицата на околоносните кухини, но тя оздравява паралелно с оздравяването на хремата.

Предразполагащи фактори за развитието на синузита са наличието на полипи в околоносните кухини, както и затрудненото оттичане на секретите поради набъбналата лигавица и други. В тези случаи настъпва суперинфекция с пиогенни бактерии, което води до развитието на гноен синузит.

Има няколко вида синузит въз основа на продължителността на протичане:

  • Остър синузит - внезапна поява на симптоми като хрема, запушен нос и болка в лицето, които не изчезва след 7-10 дни. Острият синузит обикновено трае 4 седмици или по-малко.
  • Подостър синузит - възпаление на синусите с продължителност от 4 до 12 седмици.
  • Хроничен синузит - състояние, характеризиращо се с възпаление на синусите с продължителност от 12 седмици или повече.

Освен това според анатомията на възпаления синус се различават:

  • Максиларен синузит - възпаление на максиларните синуси
  • Фронтален синузит - възпаление на фронталните синуси
  • Етмоидален синузит - възпаление на етмоидалните синуси
  • Сфеноидален синузит - възпаление на сфеноидалните синуси
  • Пансинузит - възпаление на всички околоносни кухини

Най-често възпалението засяга максиларния синус, на второ място е възпалението на етмоидалния синус, последван от възпалението на фронталния синус.

Симптомите на синузит могат да включват:

  • хрема
  • запушен нос
  • болка в лицето
  • повишена температура
  • главоболие
  • намалено обоняние
  • лош дъх
  • възпалено гърло
  • кашлица

Лечението на синузита зависи от причината за поява на състоянието и продължителността му.

2.

Анатомия на синусите

Какво представляват синусите? Каква е функцията на синусите? Кога могат да се възпалят синусите (околоносните кухини)?

Около горните дихателни пътища съществуват няколко околоносни кухини - синуси, които изпълняват главно резонаторна функция. Синусите са 8 на брой и представляват разклонена и изпълнена с въздух система от канали. Те се свързват с носната кухина посредством отвори, през които се дренират секретите о...

Прочети повече
3.

Какви са видовете синузит?

Каква е класификацията на синузита? Научете за видовете синузит според продължителността му и вида на възпалението.

Синузитът може да се класифицира по няколко начина въз основа на неговата продължителност (остър, подостър или хроничен) и вида на възпалението (инфекциозен или неинфекциозен).

Прочети повече
4.

Причини за синузит

Какви са причините за поява на синузит? Научете кои заболявания и състояния могат да доведат до синузит.

Термините синусова инфекция и синузит често се използват взаимозаменяемо, но синузитът просто се отнася до възпаление на синусите, с или без инфекция. Синусовите инфекции се развиват поради запушвания на синусите и носа, които водят до възпаление на синусите. Има няколко основни причини за запушва...

Прочети повече
5.

Рискови фактори за синузит

Кои медицински състояния и фактори на околната среда увеличават риска от развитие на синузит?

Някои хора са по-податливи от други към развитие на синузит. Повечето хора с остър синузит са прекарали наскоро вирусна инфекция на горните дихателни пътища, но възпаление на синузите също може да се появи при алергии, структурни носни аномалии или експозиция на локални дразнители. Имунокомпрометир...

Прочети повече
6.

Симптоми при синузит

Какви са оплакванията при синузит? Прочетете информация относно симптомите при остър и хроничен синузит.

Симптомите при синузит варират в зависимост от продължителността и тежестта на състоянието. Хроничният и острият синузит имат подобни признаци и симптоми, но острият синузит е временна инфекция на синусите, докато симптомите на хроничния синузит продължават най-малко 12 седмици. Възможно е да има ...

Прочети повече
7.

До какви усложнения може да доведе синузитът?

До какви последствия може да доведе синузитът? Опасно ли е възпалението на синусите? При кои хора има най-голям риск от усложнения?

Въпреки че повечето случаи на инфекция на синусите са неусложнени, могат да възникнат потенциално животозастрашаващи усложнения от остър бактериален синузит. Стените на синусите са тънки, а синусите споделят кръвоносни съдове и лимфодренажни пътища с очите и частите на централната нервна система ...

Прочети повече
8.

Кога да потърся консултация от лекар при синузит?

Кога е желателно да потърсите съвет от лекар специалист по уши, нос и гърло при симптоми на синузит?

Настинката и хремата обикновено изчезват след симптоматично лечение за няколко дни до седмица. За повечето деца и възрастни назалната конгестия (непрестанно запушен нос) е нищо повече от неудобство, но понякога това може да е симптом на по-сериозна причина или да доведе до други здравословни пробле...

Прочети повече
9.

Как се поставя диагноза при синузит?

Как се диагностицира синузитът? Какви изследвания се правят при съмнение за заболяването?

За поставяне на диагнозата остър синузит имат значение симптомите на пациента, лабораторните изследвания на кръвта, рентгенография на околоносните синуси, при необходимост и компютърна томография. При хроничен синузит е добре да се направи и микробиологично изследване. Болният трябва да отиде на л...

Прочети повече
10.

Лечение на синузит

Какво е лечението при синузит? Какви терапевтични подходи са ефективни? Как да си помогнем у дома?

Лечението на синузит зависи от причината, тежестта и продължителността на симптомите.

Прочети повече
11.

Превенция на синузита

Може ли възпалението на синусите да бъде предотвратено? Какви са методите за превенция на синузита? Съществува ли ваксина?

В момента не съществуват ваксини, предназначени специално за превенция на инфекциозен синузит. Въпреки това, има ваксини срещу вируси (грип) и бактерии (пневмококи), които могат да причинят инфекциозен синузит. Ваксинирането срещу патогени, известни като причинители на инфекциозен синузит, може ко...

Прочети повече
12.

Синузит, причинен от зъбни проблеми

Какво представлява синузитът, причинен от зъбни проблеми? Кои зъбни проблеми са причина за синузит? Какви са видовете синузит, причинени от зъбни проблеми?

Синузитът, причинен от зъбни проблеми (одонтогенен максиларен синузит) е възпалителен процес от зъбен произход, локализиран в горночелюстната кухина. Той обхваща предимно синусната лигавица и по-рядко костните структури. Възпалението се дължи на непосредствената близост на корените на горните зъби...

Прочети повече
Страници: 12345...17
3.7/5 123 оценки
googletag.pubads().definePassback('/21812339056/300-250-upperright', [300, 250]).display();

Галерия

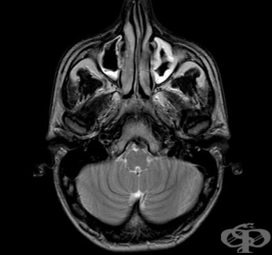
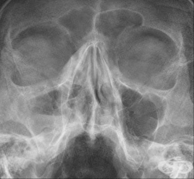
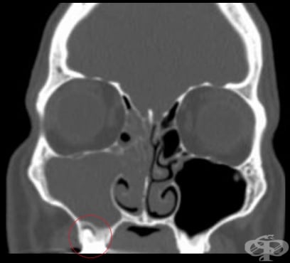
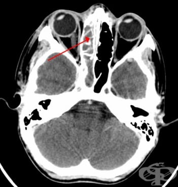
Синузит Възпалени синуси Синузит Симптоми при синузит Синузит Синузит Риноскопия Рентгенография максиларен синузит Компютърна томография етмоидакен синузит ЯМР синузит Одонтогенен синузит Лечение на синузит
1 от 13
СинузитВъзпалени синусиСинузитСимптоми при синузитСинузитСинузитРиноскопияРентгенография максиларен синузитКомпютърна томография етмоидакен синузитЯМР синузитОдонтогенен синузитЛечение на синузитЛечение на синузит

Полезни връзки

Библиография

https://www.webmd.com/allergies/sinusitis-and-sinus-infection
https://en.wikipedia.org/wiki/Sinusitis
https://www.cdc.gov/antibiotic-use/sinus-infection.html
https://www.everydayhealth.com/sinus-infection/
https://www.aaaai.org/Conditions-Treatments/Allergies/Sinusitis
https://www.medicinenet.com/sinusitis/article.htm
https://www.medicalnewstoday.com/articles/149941
https://emedicine.medscape.com/article/232670-overview
https://emedicine.medscape.com/article/232791-overview
https://www.mayoclinic.org/diseases-conditions/chronic-sinusitis/symptoms-causes/syc-20351661
https://www.mayoclinic.org/diseases-conditions/acute-sinusitis/symptoms-causes/syc-20351671
https://acaai.org/allergies/types/sinus-infection
https://www.nhs.uk/conditions/sinusitis-sinus-infection/

 

Изображения: freepik.com

Коментари към Синузит

От сайта
Напиши коментар 0 коментара
  1. Коментирайте Синузит
    www.framar.bg 
    на 27 February 2026 в 23:03
    Коментирайте "Синузит"
За статията
последна редакция: 24 окт 2024г.
създадена на: 22 март 2012г.
прочетена: 1240722 пъти
Още за Синузит
  • Статии от здравна медия
  • Научни публикации
  • Алтернативна медицина
  • Околоносни кухини
  • Растения и билки
Още интересни публикации
Иновативен имплант при оперативно лечение на хроничен риносинуит в УМБAЛ „Тракия“ Иновативен имплант при оперативно лечение на хроничен риносинуит в УМБAЛ „Тракия“

Иновативен имплант при оперативно лечение на хроничен риносинуит в УМБAЛ „Тракия“

от 12 дек 2025г. Прочети повече
Настинка, грип, синузит — три заболявания със сходни симптоми Настинка, грип, синузит — три заболявания със сходни симптоми

Настинка, грип, синузит — три заболявания със сходни симптоми

от 14 фев 2024г. Прочети повече
Лечение с магнити на болести на дихателната система Лечение с магнити на болести на дихателната система

Лечение с магнити на болести на дихателната система

от 12 дек 2022г. Прочети повече
Премахване на трета сливица Премахване на трета сливица

Премахване на трета сливица

от 08 дек 2022г. Прочети повече
googletag.pubads().definePassback('/21812339056/Baner300600', [300, 600]).display();
При възникнало съмнение за здравословен проблем или нужда от лечение, моля винаги се обръщайте за медицинска консултация към квалифициран и правоспособен лекар или фармацевт. В никакъв случай не възприемайте дадената Ви чрез сайта информация като абсолютно достоверна и правилна, дори и същата да се окаже такава.
Данни на Фрамар ООД:
  • Фрамар ООД, ЕИК: 123732525, Стара Загора, ул. Петър Парчевич № 26, телефон: 0875 / 322 000, e-mail: office@framar.bg
  • За контакт
  • Borika
  • MasterCard
  • mastercard securecode
  • Visa
  • verified by visa
Информация:
  • Общи условия
  • Политика за поверителност
  • Политика за използване на бисквитки
  • Право на отказ от договора
  • Рекламации
  • Доставка
  • Плащания
  • Отстъпки за регистрирани клиенти
  • Промоции и безплатна доставка
  • Често задавани въпроси
  • При възникване на спор, свързан с покупка онлайн, можете да ползвате сайта ОРС
  • Български Фармацевтичен съюз
  • Изпълнителна агенция по лекарствата
  • Комисия за защита на потребителите
  • Министерство на здравеопазването
БДА NextGenerationEU DMCA.com Protection Status
© 2007 - 2026 Аптеки Фрамар. Всички права запазени! Framar.bg във Facebook
Изработка на уеб сайт от Valival