Framar.bg 0
0
Е-аптека Промоции
Здравна библиотека
Здравни проблеми Медицинска енциклопедия Заболявания Симптоми и признаци Алтернативна медицина Анатомия Медицински изследвания Лечения Физиология Патология Ботаника Микробиология Фармакологични групи Медицински журнал Взаимодействия История на медицината и фармацията Здравето А-Я
Диагностик
Здравна помощ
Здравен справочник Специалисти Здравни заведения Аптеки Институции и организации Образование Спорт и туризъм Клинични пътеки Нормативни актове Бизнес Социални грижи Форум Консултации
Здравна медия
Здравни новини Любопитно Интервюта Видео Презентации Научни публикации Анкети Бъди активен Кампании
Здраве и начин на живот
Хранене Хранене при... Рецепти Диети Групи храни и ястия Съставки Е-тата в храните Спорт Съвети Психология Лайфстайл Интерактивни
За нас
За Фрамар За реклама Статистика Общи условия Екип Кариера Адреси на аптеки Фрамар Блог Важно Автори Програма за лоялни клиенти Промоционална брошура
Контакти
Назад | Начало Здравни проблеми Миома

Миома

Автор: д-р Димитър Илианов МитевРедактор: Камелия Методиева
  • СЪДЪРЖАНИЕ
  • ИНФОРМАЦИЯ
  • ГАЛЕРИЯ
  • БИБЛИОГРАФИЯ
  • КОМЕНТАРИ
СЪДЪРЖАНИЕ
СЪДЪРЖАНИЕ
ИНФОРМАЦИЯ
ГАЛЕРИЯ
БИБЛИОГРАФИЯ
КОМЕНТАРИ
Миома
  1. Какво представлява миомата?
  2. Колко често се среща миомата?
  3. Какви са причините за поява на миома?
  4. Какви видове миома има?
  5. Какви са симптомите при миома?
  6. Как се поставя диагнозата миома?
  7. Диференциална диагноза на миома
  8. Лечение на миома
  9. Какви усложнения могат да се наблюдават при миома?
  10. Може ли да изчезне миома?
  11. Полов живот след операция от миома

1. Какво представлява миомата?

Миомата представлява доброкачествен гладкомускулен тумор, който произхожда от миометриума (мускулната тъкан на матката). Нарича се още лейомиома.

Често се появява по време на детеродна възраст. Около 20% до 80% от жените развиват миома до 50-годишна възраст. След менопаузата обикновено миомата намалява по размер. Миомата е най-често срещаният маточен тумор и един от най-често срещаните тумори на женска полова система.

Точната причина за миома на матката е неясна. Въпреки това, са установени генетичната предразположеност и влияние на хормоните.

Всички миомни възли започват като малки възелчета, които произхождат от мускулната тъкан на матката, а по-късно се трансформират до възли, които могат да бъдат с различна големина и разположение.

Размерът, формата и локализацията на миомите могат да варират значително. Наблюдават се миомни възли, разположени субмукозно, интрамурално или субсерозно. Миомният възел може да бъде единичен или да се наблюдават множество миомни възли с различни размери, които засягат цялата матка и предизвикват в различна степен нейната деформация (матката с множество възли се нарича миоматозна матка). Миомата може да остане много малка по размер продължително време и внезапно да расте бързо, или да расте бавно в продължение на няколко години. Лейомиомата може да достигне значителни размери, вследствие на което да предизвиква компресия над съседните органи и структури.

Характерно за миомата е, че тя е ясно отграничена от околна тъкан, няма инфилтративен растеж и не метастазира. Не е свързана с повишен риск от рак на матката и почти никога не се развива в рак.

Повечето жени с миомен възел нямат симптоми. Въпреки това, миомите могат да причинят редица симптоми в зависимост от техния размер, местоположение в матката и колко близо са до съседните тазови органи. Това най-често са необичайно кървене, болка и симптоми вследствие на притискане на съседни органи и структури. В някои случаи вследствие на миомен възел могат да се наблюдават спонтанни аборти и стерилитет.

Лейомиомата се диагностицира чрез тазов преглед и ултразвуково изследване.

Ако е необходимо лечение на миома на матката, са налични няколко опции, които включват хирургия (хистеректомия, миомектомия, криохирургия), високоинтензивен фокусиран ултразвук (HIFU), емболизация на маточната артерия, фармакотерапия (лекарства като мифепристон, даназол, ралоксифен, аналози на гонадотропин-освобождаващ хормон и нискодозови орални контрацептиви).

Информация за миома може да прочетете и тук:

» Лейомиом на матката мкб D25

2.

Колко често се среща миомата?

Миомата е най-често срещаният маточен тумор. Честота на миомата е по-голяма във възрастта след 30 години, докато през пубертета и след менопаузата е значително по-рядко срещана.

Миомата е най-често срещаният тумор в тазовата област при жените, който се развива от мускулната тъкан на матката. Честотата на миомата варира в зависимост от възраст, държава, раса. Засяга 25% от жените над 30-годишна възраст. През 2013 г. е изчислено, че 171 милиона жени в световен мащаб са били ...

Прочети повече
3.

Какви са причините за поява на миома?

Прочетете информация за условията, причиняващи поява на миома.

Точните причини за поява на миома не са установени все още от учените. Знае се, че миомите са под хормонален контрол. Женските полови хормони естроген и прогестерон имат голямо влияние, но в различна степен. Миомите не могат да растат без тези естествени хормони, произвеждани в тялото на жената, п...

Прочети повече
4.

Какви видове миома има?

Съществуват различни видове миома. Основно те се подразделят в зависимост от това дали са разположени в тялото на матката или извън него. Различават се субмукозни, интрамурални и субсерозни миомни възли.

Миомите са изградени от мускулни клетки и съединителна тъкан. Техният размер, форма и местоположение варират. В зависимост от посоката на нарастване и тяхната локализация миомите се подразделят на няколко видове: под ендометриума (лигавицата) в маточната кухина - субмукозна миома в стената на матк...

Прочети повече
5.

Какви са симптомите при миома?

Основен симптом при жените с миома е кръвотечението. Другите оплаквания, които могат да имат жените, се дължат на компресията, осъществена от миомата върху съседни органи.

Симптомите на заболяването зависят от локализацията на миомата и нейния размер. Миомите, особено когато са с малки размери, могат да бъдат асимптомни. Клинично признаците, които се наблюдават при миома, се характеризират предимно с неправилни кръвотечения (хиперменорея, метрорагия, менометрорагия)...

Прочети повече
6.

Как се поставя диагнозата миома?

Основно значение за поставянето на диагнозата миома имат клиничната картина и образните изследвания, предимно ехографията.

Поставянето на диагнозата миома обикновено не е трудно, но понякога могат да съществуват и затруднения. Основно значение се отдава на огледа и палпацията, образните изследвания, параклинични изследвания, сондирането на матката и други. Посредством тези методи може нерядко да се определи размерът, б...

Прочети повече
7.

Диференциална диагноза на миома

С кои заболявания и състояния може да се греши миомата?

Миомите са често срещано състояние, но въпреки това други по-сериозни причини за анормално кървене или наличие на маса в тазовата област могат да съществуват (паралелно) и трябва да бъдат изключени. Диференциалната диагноза на миомата зависи от наличните симптоми, но включва: Дисфункционално мато...

Прочети повече
8.

Лечение на миома

Какво включва лечението на миомата? Кои са терапевтичните методи?

Лечение на миомата може да не бъде необходимо в случаи, когато няма симптоми на миома или когато симптомите са леки и ежедневните дейности не са значително засегнати. Миомата често се свива след менопауза и симптомите обикновено се облекчават или изчезват напълно. Има различни начини за лечение н...

Прочети повече
9.

Какви усложнения могат да се наблюдават при миома?

При миома могат да се наблюдават различни усложнения, които могат да бъдат общи, инфекциозни, механични, дистрофични и други.

Усложненията при миома могат да бъдат от разнообразен характер. Те могат да бъдат разграничени като общи, локални, акушерски усложнения и злокачествени промени.

Прочети повече
10.

Може ли да изчезне миома?

Възможно е миома да изчезне от само себе си, без да бъде приложено лечение? Какви са шансовете това да се случи и при какви обстоятелства?

Симптомите на миома, като обилна менструация, интензивни спазми и често уриниране, могат да повлияят на кариерата, взаимоотношенията, благосъстоянието и способността за изпълнение на ежедневните задачи на засегнатите жени. Не е изненадващо, че много от пациентките искат да знаят дали миомите се св...

Прочети повече
11.

Полов живот след операция от миома

Как се отразява на половия живот операцията за отстраняване на миома? Има ли последствия по отношение на сексуалната функция или я подобрява?

Половият живот след операция на миома, по-специално миомектомия (хирургично отстраняване на миома) или хистеректомия (отстраняване на матката), може да варира значително в зависимост от няколко фактора, включително вида на операцията, цялостното здраве на жената и наличието на усложнения. Сексуалн...

Прочети повече

Често задавани въпроси

Как миомите влияят на плодовитостта и възможността от забременяване?

Точното въздействие на миомите върху плодовитостта е силно вариабилно и е свързано с размера, позицията на тумора, възрастта на пациента и много други фактори. Съществува обаче обща тенденция миомите да намаляват фертилитета, но това не е абсолютно във всички случаи.

Жена с миома може да зачене, да има нормална бременност и раждане.

Може ли миомата да се превърне в рак?

Миомите не са свързани с рак. Миомите рядко се развиват в рак и рискът е по-малък от 0,1%. Злокачественият мускулен тумор в матката е рядък и се нарича лейомиосаркома.

Страници: 12345...15
3.7/5 84 оценки
googletag.pubads().definePassback('/21812339056/300-250-upperright', [300, 250]).display();

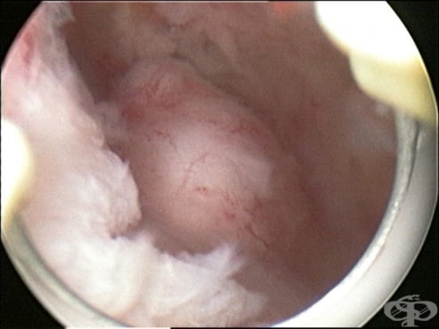
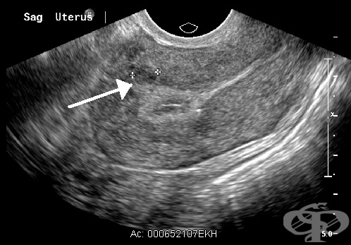
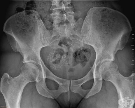
Галерия

Миома Матка с миоми Видове миома Симптоми при миома Гинекологичен преглед Ехография на миома Хистероскопия Хистерография Хирургично лечение на миома Аблация на ендометриума
1 от 11
МиомаМатка с миомиВидове миомаСимптоми при миомаГинекологичен прегледЕхография на миомаХистероскопияХистерографияХирургично лечение на миомаАблация на ендометриумаАблация на ендометриума

Библиография

https://www.ncbi.nlm.nih.gov/books/NBK546680/
https://www.webmd.com/women/uterine-fibroids/uterine-fibroids
https://my.clevelandclinic.org/health/diseases/9130-uterine-fibroids
https://www.mayoclinic.org/diseases-conditions/uterine-fibroids/symptoms-causes/syc-20354288
https://www.healthline.com/health/uterine-fibroids
https://www.medicalnewstoday.com/articles/151405
https://en.wikipedia.org/wiki/Uterine_fibroid
https://www.aafp.org/pubs/afp/issues/2017/0115/p100.html

 

Изображения: freepik.com

Коментари към Миома

От сайта (3)
Напиши коментар 3 коментара
  1. Вали Нейчева 
    на 18 June 2017 в 13:03

    Здравейте ,не разбрах доктор ли го исписа това лекарство феминистки и колко дълго може да се приема.Благодаря ви много ,ако ми отговорите.Хубав ден ви желая.

  2. Вали Нейчева 
    на 18 June 2017 в 12:55

    Здравейте как сте сега,добре ли сте.Намаляха ли ви още на сантиметри възелчетата.Аз също много се притеснявам моя,от януари до сега се е увеличил от 2,9 на 4,6 см.Дайте някакъв съвет .Моля ви.Благодаря ви предварително.

  3. Румяна 
    на 29 December 2016 в 14:54

    Аз намалих моите миомни възли наполовина/ от 28 см. на 15 см./, като 3 месеца пих фемин / продукта е билков /. Продължавам да го пия, дано напълно да изчезнат.

За статията
последна редакция: 24 окт 2024г.
създадена на: 18 сеп 2012г.
прочетена: 911795 пъти
Още за Миома
  • Новини за миома
  • Статии за миома
  • Алтернативна медицина при миома
  • Патоморфологични промени при миома
Още интересни публикации
Англия одобри перорално лекарство за лечение на миома на матката Англия одобри перорално лекарство за лечение на миома на матката

Англия одобри перорално лекарство за лечение на миома на матката

от 22 авг 2024г. Прочети повече
Съществува ли връзка между недостига на витамин D и риска от миома на матката Съществува ли връзка между недостига на витамин D и риска от миома на матката

Съществува ли връзка между недостига на витамин D и риска от миома на матката

от 08 сеп 2023г. Прочети повече
Алтернативно лечение на миома Алтернативно лечение на миома

Алтернативно лечение на миома

от 12 дек 2022г. Прочети повече
Лечение при миома на матката Лечение при миома на матката

Лечение при миома на матката

от 08 дек 2022г. Прочети повече
googletag.pubads().definePassback('/21812339056/Baner300600', [300, 600]).display();
При възникнало съмнение за здравословен проблем или нужда от лечение, моля винаги се обръщайте за медицинска консултация към квалифициран и правоспособен лекар или фармацевт. В никакъв случай не възприемайте дадената Ви чрез сайта информация като абсолютно достоверна и правилна, дори и същата да се окаже такава.
Данни на Фрамар ООД:
  • Фрамар ООД, ЕИК: 123732525, Стара Загора, ул. Петър Парчевич № 26, телефон: 0875 / 322 000, e-mail: office@framar.bg
  • За контакт
  • Borika
  • MasterCard
  • mastercard securecode
  • Visa
  • verified by visa
Информация:
  • Общи условия
  • Политика за поверителност
  • Политика за използване на бисквитки
  • Право на отказ от договора
  • Рекламации
  • Доставка
  • Плащания
  • Отстъпки за регистрирани клиенти
  • Промоции и безплатна доставка
  • Често задавани въпроси
  • При възникване на спор, свързан с покупка онлайн, можете да ползвате сайта ОРС
  • Български Фармацевтичен съюз
  • Изпълнителна агенция по лекарствата
  • Комисия за защита на потребителите
  • Министерство на здравеопазването
БДА NextGenerationEU DMCA.com Protection Status
© 2007 - 2026 Аптеки Фрамар. Всички права запазени! Framar.bg във Facebook
Изработка на уеб сайт от Valival