- Какво представлява кариесът?
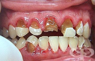
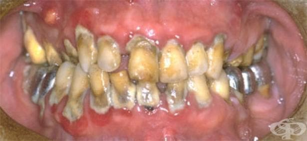
- Как изглежда кариесът?
- Причини за появата на зъбен кариес
- Рискови фактори за поява на кариес
- Какви са симптомите на кариес?
- Усложнения на зъбния кариес
- Как се поставя диагнозата на зъбен кариес?
- Какво може да е лечението на кариеса?
- Домашни средства в помощ на лечението на кариес
- Силанизиране на детски зъби
- Профилактика на зъбния кариес
10. Силанизиране на детски зъби
Силанизирането на зъбите представлява профилактично покритие на здрави дълбоки фисури, ямки и бразди със силанти.
Целта на силанизирането на детските зъби е да се запълнят фисурите и да се предпазят от действието на околната кариесогенна среда, която причинява ранното развитие на кариес.
Силанизирането на детските зъби е неболезнена процедура. Първо се почиства зъба от хранителни остатъци и плака. След това емайлът се обработва за кратко с киселина, за да може по-добре да се свърже със силанта. После зъбът се промива и подсушава. Накрая се поставя силанта.

Силантът е течен смолист материал, който се втвърдява при различни условия. В зависимост от използваните материали силантите са: цианоакрилати, полиуретани, поликарбоксилати и епоксилати. В зависимост от начина, по който се втвърдяват, те са химиополимеризиращи, фотопиолимеризиращи или се активират от ултравиолетова светлина.
10.1. Проблемът "дълбока фисура"
Всички дъвкателни зъби пробиват с „оклузален дефект”, наречен дълбоки фисури. Дълбоките фисури се дължат на развитието на емайла. Фисурите се изграждат последни и тяхната минерализация е най–слаба. Емайлът в областта на дълбоките фисури е изключително тънък.
Освен това входът на дълбоката фисура е изключително стеснен, а под него съществува разширение. Този специфичен релеф води до лесно навлизане на хранителни остатъци и микроорганизми, а оттам и за формиране на зъбна плака.
Поради стеснения вход на дълбоката фисура зъбната плака не може да бъде повлияна от самоочистващите механизми в устата. Върху зъбната плака в дълбоките фисури, ямките и браздите не действат и използваните средства за индивидуална устна хигиена. Четката за зъби не е в състояние да навлезе в тези пространства и на практика не я отстранява.
Към всичко това се прибавя и недостатъчната височина на пробиващия зъб, поради което той не участва в дъвкателния акт и плакообразуването е засилено и безпрепятствено. Във възрастта, в която пробиват тези зъби, орално–хигиенните навици на децата са нестабилни, а четкането на зъбите - некачествено. Всички тези фактори създават трайна кариесогенна ситуация – ето защо дълбоките фисури много рано се атакуват и развиват кариес. При липса на навременни дентални грижи фисурният кариес на новопробилите зъби бързо се усложнява и довежда до ранна загуба на основен дъвкателен зъб. Ето защо проблемът "дълбока фисура" е важно да бъде разрешен навреме.
10.2. Време на приложение на силантите
Важно е приложението на силантите да става непосредствено след появата на фисурата в устата - това е най-подходящото време за приложение на силантите. Това е времето, когато съществува най-голяма опасност от развитие от кариес.
Макар и по-голяма част от минерализацията на емайла да е реализирана до две години след пробива, в период до четири години все още има показания за приложение на силанти, особено в случаите, в които има запазени по-релефни фисури. Силанти могат да се поставят и по-късно - при по-големи деца в случаи на висок риск от кариес.
10.3. Зъби, които могат да се силанизират
На силанизиране подлежат временните молари и всички постоянни молари и премолари. Фисурният кариес при всички тези зъби, които могат да се силанизират, може успешно да се предотврати, като се запълнят фисурите и по този начин да се предпазят от действието на околната кариесогенна среда.
10.4. Най-важните зъби за приложение на силанти
Постоянните зъби са с по-изразен релеф на оклузалната повърхност от временните. Фисурите на постоянните зъби са по-дълболки, по-релефни и по-разклонени. Освен това постоянните зъби са тези, които осигуряват зъбната функция през по-голямата част от живота. Ето защо те са най-важните зъби за приложение на силанти.
От тях по-важно значение имат моларите в сравнение с премоларите, защото релефът на моларите е по-изразен от този на премоларите. Друга причина силанизирането на постоянните молари да е по-важно от това на премоларите е, че при моларите опасността от развитие на кариес в зоната на дълбоките фисури е в продължение на една до две години след пробива, докато рисковият период за премоларите е само няколко месеца.
От групата на постоянните молари най-ретентивна е фисурата на първия долен молар. Неговата фисура е най-дълбока и с най-много разклонения. Той пробива най-рано и много често остава незабелязан от родителите - те не знаят, че децата им вече имат постоянни зъби. Навиците за устна хигиена още не са установени и този зъб е най-силно изложен на кариесогенните фактори. Затова от най-важните зъби за приложение на силанти, първият долен молар е определен като най-важния.
10.5. При кои деца е задължително приложението на силанти
Силанизирането на детските зъби е не само препоръчително, но и задължително за всички деца с:
- Физически и умствени смущения
- Деца в неравностойно социално положение
- Оклузален кариес на един от постоянните молари, поради което е задължително силанизирането на останалите първи молари
- Един и повече кариеси на постоянните първи молари, поради което трябва да се силанизират вторите им молари.
- Кариозни временни зъби
Коментари към Кариес