Framar.bg 0
0
Е-аптека Промоции
Здравна библиотека
Здравни проблеми Медицинска енциклопедия Заболявания Симптоми и признаци Алтернативна медицина Анатомия Медицински изследвания Лечения Физиология Патология Ботаника Микробиология Фармакологични групи Медицински журнал Взаимодействия История на медицината и фармацията Здравето А-Я
Диагностик
Здравна помощ
Здравен справочник Специалисти Здравни заведения Аптеки Институции и организации Образование Спорт и туризъм Клинични пътеки Нормативни актове Бизнес Социални грижи Форум Консултации
Здравна медия
Здравни новини Любопитно Интервюта Видео Презентации Научни публикации Анкети Бъди активен Кампании
Здраве и начин на живот
Хранене Хранене при... Рецепти Диети Групи храни и ястия Съставки Е-тата в храните Спорт Съвети Психология Лайфстайл Интерактивни
За нас
За Фрамар За реклама Статистика Общи условия Екип Кариера Адреси на аптеки Фрамар Блог Важно Автори Програма за лоялни клиенти Промоционална брошура
Контакти
Назад | Начало Здравни проблеми Детски хемангиоми Диагноза на детски хемангиоми
Детски хемангиоми
Автор: Камелия МетодиеваРедактор: д-р Виолина Тодева
  • СЪДЪРЖАНИЕ
  • ИНФОРМАЦИЯ
  • ГАЛЕРИЯ
  • КОМЕНТАРИ
СЪДЪРЖАНИЕ
СЪДЪРЖАНИЕ
ИНФОРМАЦИЯ
ГАЛЕРИЯ
КОМЕНТАРИ
Детски хемангиоми
  1. Какво представляват детските хемангиоми?
  2. Как изглежда хемангиомът в детска възраст?
  3. Видове детски хемангиоми
  4. Каква е причината за поява на хемангиом в детска възраст?
  5. Кои бебета са с повишен риск от развитие на хемангиоми?
  6. Ще порастне ли хемангиомът на бебето ми?
  7. Симптоми и признаци при детски хемангиоми
  8. Диференциална диагноза на детски хемангиоми
  9. Диагноза на детски хемангиоми
  10. Какви проблеми или усложнения могат да причинят инфантилните хемангиоми?

9. Диагноза на детски хемангиоми

Диагноза на детски хемангиоми

В повечето случаи детските хемангиоми обикновено се диагностицират клинично въз основа на анамнезата и констатациите от физикалния преглед. Не са необходими изследвания за по-голямата част от повърхностните лезии. Дълбоките инфантилни хемангиоми или сегментните хемангиоми са рутинно изследвани с образни методи.

Ако има някаква несигурност при разграничаване на хемангиома от други лезии или съдови малформации, извършването на ехография обикновено осигурява окончателен отговор. В някои случаи, ядрено-магнитен резонанс или компютърна томография също могат да бъдат необходими, за да се постави диагноза и да се определи размера на лезията. Възможно е да се направи хистологично изследване за потвърждаване на диагнозата или ако има някакво съмнение относно възможността за злокачествено новообразувание.

Децата с комплексни лезии са най-добре оценени от комисия от експерти, включително педиатър, дерматолог, рентгенолог, офталмолог, съдови и пластични хирурзи.

9.1. Лабораторни изследвания

Лабораторни изследвания

Няма лабораторни изследвания, които са общоприети за диагностициране на детските хемангиоми.

Въпреки това може да се изследва съдово-ендотелен растежен фактор (VEGF), както и бета-фибробластен растежен фактор и матриксна металопротеиназа (MMP) като маркери на пролиферация и диференциация на хемангиома.

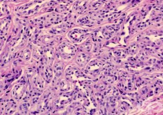
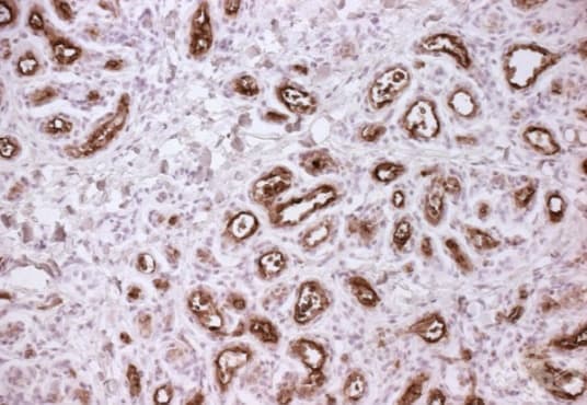
Оцветяването на глюкозен транспортер 1 (GLUT-1) е полезно за оценяване на тъканта, отстранена по време на биопсия или ексцизия. Пролиферативните и инвоюлиращите инфантилни хемангиоми оцветяват положително за GLUT-1, докато други кожни съдови неоплазми, малформации, както и нормалната кожна съдова система не го прави, което прави това изследване много чувствително и специфично за хистологично потвърждение на инфантилни хемангиоми.

9.2. Образни изследвания

Образни изследвания

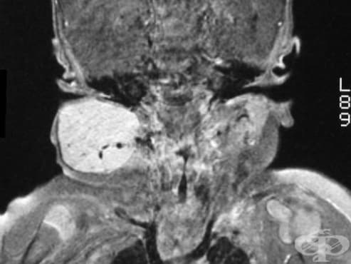
Образното изследване на избор при определяне на локализацията и разпространението на кожните и екстракутанните хемангиоми е ядрено-магнитен резонанс с или без използване на контрастно вещество гадолиний. ЯМР също помага за при отдиференцирането на хемангиомите от други съдови лезии.

Ултразвуково изследване е полезно при разграничаването на хемангиомите от други дълбоки дермални или подкожни структури, като кисти или лимфни възли.

Рентгенографията има ограничена употреба, но може да бъде от полза за оценка на хемангиоми, които оказват въздействие върху дихателните пътища.

 

Прочетете повече информация за изследванията:

  • Рентгенография
  • Ултразвуково изследване (ехография, видеозон)
  • Изследване с рентгенови лъчи
  • Ядрено-магнитен резонанс, ЯМР

9.3. Биопсия

Биопсия

Ако диагнозата все още не е поставена след подробно снетата анамнеза и физикален преглед, биопсия на кожата може да бъде полезна при разграничаване на атипични хемангиоми от други съдови лезии. Тъканните проби могат да бъдат анализирани чрез рутинно хистологично изследване и специфични методи за оцветяване.

 

Прочетете повече информация за изследването:

  • Кожна биопсия
Следва: Какви проблеми или усложнения могат да причинят инфантилните хемангиоми?
Страници: 7891011
4.3/5 8 оценки
googletag.pubads().definePassback('/21812339056/300-250-upperright', [300, 250]).display();

Галерия

Детски хемангиоми Детски хемангиоми Детски хемангиоми Детски хемангиоми Детски хемангиоми Нарушено зрение от хемангиома Улцерация на хемангиома Повърхностен хемангиом Дълбок хемангиом Смесен хемангиом Хистопатология на пролиферативен инфантилен хемантиом Изследване - оцветяване на глюкозен транспортер 1 (GLUT-1) ЯМР на детски хемангиом Хемангиом Белег от хемангиом Хемангиом
1 от 16
Детски хемангиомиДетски хемангиомиДетски хемангиомиДетски хемангиомиДетски хемангиомиНарушено зрение от хемангиомаУлцерация на хемангиомаПовърхностен хемангиомДълбок хемангиомСмесен хемангиомХистопатология на пролиферативен инфантилен хемантиомИзследване - оцветяване на глюкозен транспортер 1 (GLUT-1)ЯМР на детски хемангиомХемангиомБелег от хемангиомХемангиом

Коментари към Детски хемангиоми

От сайта
Напиши коментар 0 коментара
  1. Коментирайте Детски хемангиоми
    www.framar.bg 
    на 26 December 2025 в 14:37
    Коментирайте "Детски хемангиоми"
За статията
последна редакция: 24 окт 2024г.
създадена на: 04 яну 2017г.
прочетена: 46335 пъти
Още за Детски хемангиоми
  • Интервюта
googletag.pubads().definePassback('/21812339056/Baner300600', [300, 600]).display();
При възникнало съмнение за здравословен проблем или нужда от лечение, моля винаги се обръщайте за медицинска консултация към квалифициран и правоспособен лекар или фармацевт. В никакъв случай не възприемайте дадената Ви чрез сайта информация като абсолютно достоверна и правилна, дори и същата да се окаже такава.
Данни на Фрамар ООД:
  • Фрамар ООД, ЕИК: 123732525, Стара Загора, ул. Петър Парчевич № 26, телефон: 0875 / 322 000, e-mail: office@framar.bg
  • За контакт
  • Borika
  • MasterCard
  • mastercard securecode
  • Visa
  • verified by visa
Информация:
  • Общи условия
  • Политика за поверителност
  • Политика за използване на бисквитки
  • Право на отказ от договора
  • Рекламации
  • Доставка
  • Плащания
  • Отстъпки за регистрирани клиенти
  • Промоции и безплатна доставка
  • Често задавани въпроси
  • При възникване на спор, свързан с покупка онлайн, можете да ползвате сайта ОРС
  • Български Фармацевтичен съюз
  • Изпълнителна агенция по лекарствата
  • Комисия за защита на потребителите
  • Министерство на здравеопазването
БДА NextGenerationEU DMCA.com Protection Status
© 2007 - 2025 Аптеки Фрамар. Всички права запазени! Framar.bg във Facebook
Изработка на уеб сайт от Valival